| Eine Wurzelkanalbehandlung wird nötig,
wenn die Karies bis zum Nerv fortgeschritten ist,
oder sich der Nerv anderweitig entzündet hat
(z.B. durch ein Trauma).
|



Zumeist hat der Patient schon starke Schmerzen, wenn er die Praxis
aufsucht. Der Zahn reagiert nicht mehr (oder sehr stark) auf Kälte
und ist äußerst klopfempfindlich.
Auf dem Röntgenbild sieht man häufig schon eine Veränderung an der Wurzel. 


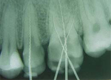
| Der Zahnarzt wird den entsprechenden Zahn betäuben und aufbohren. Dann wird mit nadelähnlichen Instrumenten in den Nervkanal eingegangen und der Nerv herausgezogen. Daraufhin sollte ein Röntgenbild gemacht werden, um zu klären, wie weit die Nadeln in den Zahn eindringen müssen.
|



| Anschließend werden größere Nadeln genommen, damit das gesamte erkrankte Nervgewebe entfernt wird. Abwechselnd wird der Zahn dabei mit einer desinfizierenden Lösung gespült.
|



| Nach dieser ersten Behandlung wird ein Medikament in den Nervkanal eingebracht. Der Zahn muss sich beruhigen und der Patient noch einmal wiederkommen. Je nachdem, ob sich die Entzündung an dem Zahn zurückgebildet hat oder nicht, werden mehrere Behandlungen fällig, an denen das Medikament gewechselt wird.
|



| Wenn der Zahn keine Schmerzen mehr aufweist, kann der "leere" Nervkanal abgefüllt werden. Das geschieht mit einer Paste und Guttaperchastiften (Guttapercha ist ein kautschukähnliches Material). Diese beiden verschließen den Kanal luftdicht, so dass keine neue Entzündung entstehen kann.
|



Der Zahn kann nach dem Abfüllen mit einer Füllung versorgt werden,
besser wäre jedoch eine Krone, da nervlose Zähne leichter brechen können. 


| Zudem sei noch erwähnt, dass alle Zähne eine unterschiedliche Anzahl an Wurzelkanälen (so heißen die Hohlräume, in denen sich der Nerv befindet) aufweisen. |



Generell kann man sich merken: je weiter hinten die Zähne im Mund stehen, um so mehr Kanäle enthält der Zahn (bis zu vier Stück). 
|